
One visit treatment
当院では、インレーやベニア、一部のクラウンに関しては、1日で治療を完成させることができます。今まで型をとって、次回来院時にセットという歯科では当たり前の治療方法が、セレックによって、わずか1、2時間でその日のうちに治療が完成いたします。セレックの開発コンセプトがまさに1日で治療完結(One visit treatment)なのです。
型採りから装着まで、仮の詰め物や仮歯で過ごさなければならいのですが、セレックはその必要も無くなります。実際には歯科医学的なメリットも多く、特に削った面が唾液や汚れ(プラーク)に汚染されていないことは、歯と修復物の接着を良好にし、長期的に安定した結果をもたらしてくれます。
治療の内容によっては必ずしも1日では行えないこともありますので、ご相談ください。

セレック プライムスキャン
ドイツ、シロナ社製の光学印象機器
被せ物や修復物の作製を行うときにはアルジネートやシリコンなどの材料で型採り(印象と言います)が必要ですが、この器械を用いれば、カメラでスキャンするだけで型を採る(光学印象)ことが可能です。基本的には保険外の修復などで使用いたします。型取りが苦手な人にはすごく便利な器械です。
セレックプライムスキャンで型採りした情報は、ミリングマシーン(セレックMCX)やジルコニアなどを焼くためのファーネス(スピードファイヤー)などと全てデジタルネットワークで連動しており、型採りから最終修復物の完成まで1時間足らずで可能になります。
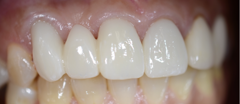
修復物の種類によっては1日で治療が完成します。(インレー、ベニア)

ミリングマシーン MCX
セレックプライムスキャンでスキャンした口腔内の情報を元に、ブロックから歯を削り出します。セラミックやジルコニアなど何種類ものブロックから、患者様の口腔内に最適なブロックを選択し、スキャンデータを元に、このMCXが削り出します。ウェットミリングだけでなく、ジルコニアを削るためにドライミリングも行う事が可能です。
ロングスパンのブリッジ以外は、この器械でほとんど対応可能です。

セレック スピードファイヤー
ジルコニアなどを焼くための炉(ファーネス)です。セレックMCXで削り出した修復物の中には、そのままの状態で口腔内にセットすることも可能な材料があります。しかし、ジルコニアやe-maxと呼ばれる材質の物は、このスピードファイヤーで高温焼成(シンタリング、クリスタライゼーション)する必要があります。
またこれらの修復物は、意図的に着色(ステイニング)することで、より審美性の高い修復物を作製することができます。さらに、最終的にこのスピードファイヤーを用いてグレージング(艶出し)することで、プラークの着きにくい綺麗な表面性状にすることが可能です。

ブロックについて
歯を削り出すブロックは、工業学的に製造されるため、組成が均一であることが最大の特徴です。これを人の手で作り出そうとすると、やはりムラができたり、作り手によっても大きな差が出てしまいます。日本の技工士さんのレベルは世界的に見てもかなり高く、当院でお願いしている技工士さんも素晴らしい技工物を我々に、そして患者様に届けてくださいますが、同じものを同じレベルでルーティーンに行うというのは、作製する人や環境(温度、湿度など)によって差がでしまうのは仕方ないことです。しかし、セレックが削り出すブロックからは、工業的に規格化されたものですので、同じ品質の、しかも高品質が完全に保証されております。これもセレック治療の一つのメリットです。
また、わたなべデンタルクリニックでは、クラウンと呼ばれる被せ物やインレーと呼ばれる修復物に関しては、ほぼ全ての患者様でセラミックを提供しております。我々がそれぞれの患者様に適した材質をある程度絞り、それをご説明させていただいた上で決定いたします。ハイブリッドと呼ばれる比較的安価な材質は、セラミックで期待できるような性質を有しておらず、当院ではごく一部の例外を除き提供しておりません(今の所、1例もございません)。
近年、ジルコニアは選択の幅がかなり広くなり、高透過性ジルコニアと呼ばれる、色調が天然歯に酷似したブロックも出てきました。新しいマテリアル(材質)なども積極的にご案内できるかと思います。







