
Orthophos SL 3D
ドイツ、シロナ社製のレントゲン、CT複合機
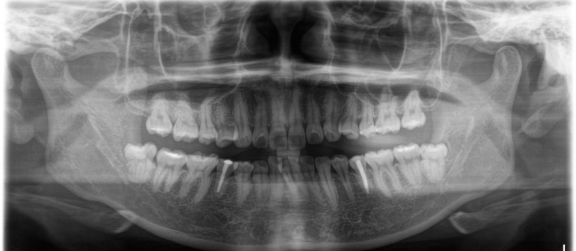
歯科治療にはレントゲン画像が欠かせません。レントゲンは放射線被曝をいたしますが、このレントゲンは被曝量が極めて少ないのが特徴です。国民感情として被曝線量に強い関心があるドイツで製作されたものですので、他社のレントゲンと比較しても低被曝です。被ばく線量が低いとレントゲンが綺麗に写らないというジレンマがあるのですが、それをクリアーにしたのがこのレントゲン装置で、低被曝量にもかかわらず、他社を圧倒する高画質のレントゲンが撮影できます。
飛行機は高いところを飛ぶために宇宙線というものに被曝いたします。歯科で一般的に撮影するパノラマレントゲン写真を当機で12回撮影すると、だいたい飛行機で東京とニューヨークを往復した被曝量に相当します。

CT(3次元レントゲン)
当クリニックのレントゲンはCTと呼ばれる3次元レントゲン写真が撮影できます。インプラント治療では診査診断には欠かせません。また、親知らずの抜歯や、複雑な根の治療などでも、CT画像が有用な場合が多く、安心、安全はもちろん、精密な治療を行う上でも欠かすことのない診断器械です。

気道解析 airway
当クリニックのCTには気道解析ソフト「SICAT AIR」がインストールされております。気道の空間容積を分析するためのものです。一見すると、歯科とは無関係に思われるかもしれませんが、、、
欧米ではすでに健康寿命を損なう疾患として睡眠時無呼吸症候は認知されており、睡眠時無呼吸症の9年生存率は62%という報告もあります。我々歯科医が日常的に行う矯正や全顎的な咬合治療においては、気道を閉塞させてしまうことも考えられ、それらを考慮した治療も必要になってきます。全顎的な治療介入を行い、気道を閉塞させてしまうリスクがある場合は、歯科治療に伴う健康寿命の損失を予防するためにも気道の状態の確認することが重要になってきます。まだ日本ではその認知と治療が浸透しておりませんが、近い将来、気道を確認することも歯科医に求められてくると思います。
また、耳鼻科の先生とも連携して、睡眠時無呼吸症候群の治療のためのマウスピース(スリープスプリント)を作成することもできます。保険適応、保険適応外の2種類がありますので、ご相談ください。





